Topicsお知らせ
Smile Design
カスタムメイドの
"Smile Design"
あなただけの特別な"スマイルデザイン"
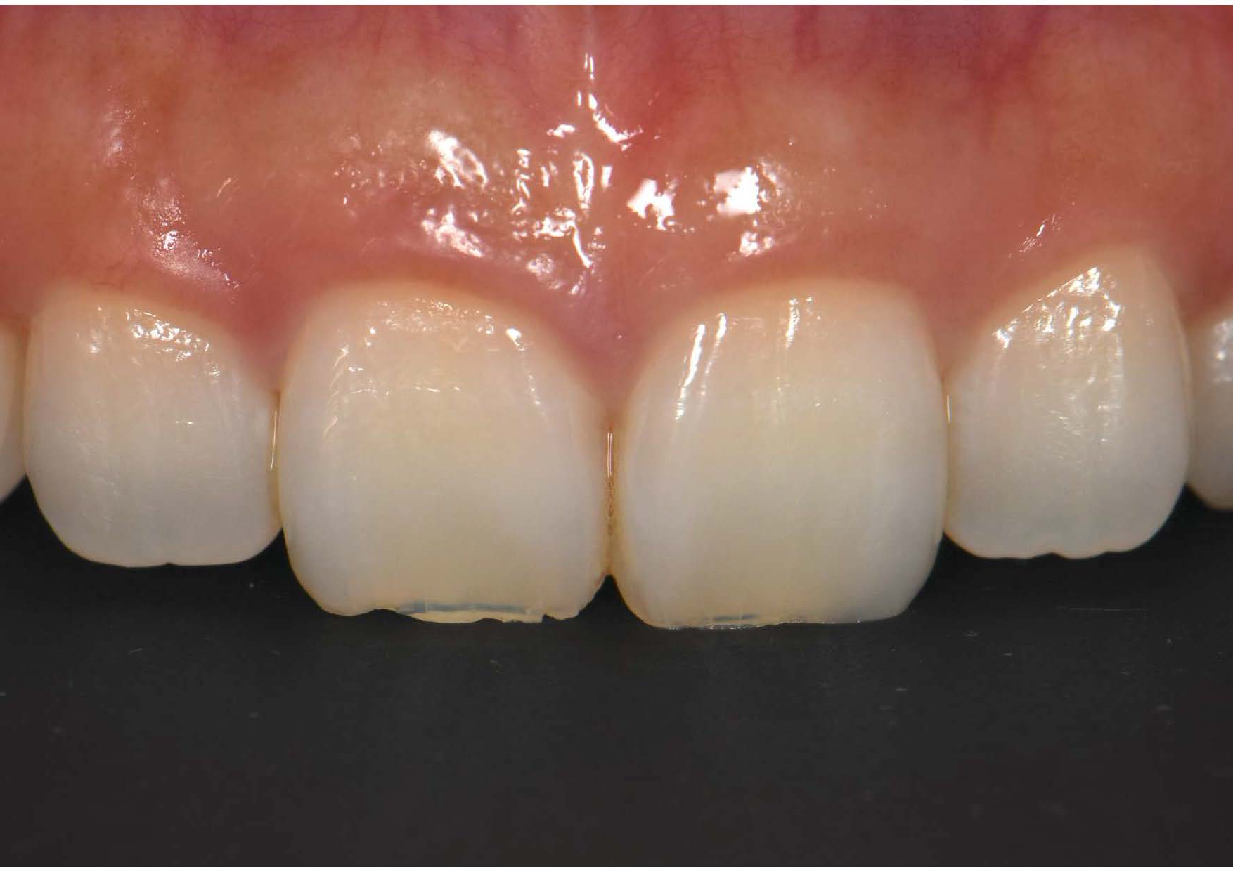
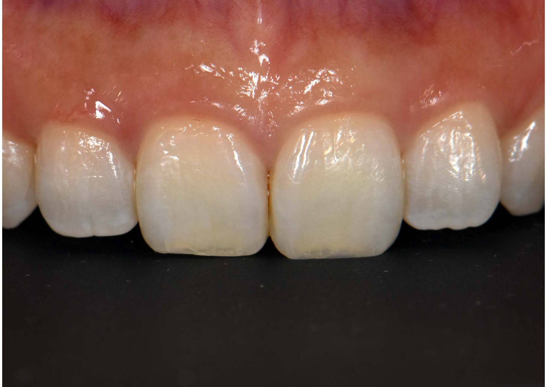
従来の審美治療では、患者さんの要望は踏まえつつも、主にドクターが中心となって治療を行ってきました。しかしそこには本当の主役である「あなた」の大切なニーズを取りこぼす可能性がありました。当院ではray
faceや口腔内スキャナー、CTなど最先端技術を駆使し、「デンタルアバター」を作成することで、治療前に治療後の姿をシュミレーションし、治療前の話し合いをより詳細に行うことで「あなた」だけの特別なスマイルを治療計画に組み込むことができるようになりました。
デンタルアバターを用いた審美治療
デンタルアバターとは、フェイススキャナー(Ray Face)で撮影した顔貌スキャンデータと口腔内スキャンおよびCTをマッチングさせることで作成できる”仮想患者”であり、個人のもつ3次元的な顔貌を360度すべての角度から評価することが可能です。
デンタルアバターを用いることで現時点での顔貌と歯列の状態を3次元的に評価し、理想的な位置の確認や、治療計画の予測実現性を評価することが可能になります。
-
予測実現性
-
歯槽骨の位置から治療可能なプランなのかを判定します。
-
-
-
治療結果の視覚化
-
-
綺麗な歯並びだけでなく顔全体の審美性を考慮した治療
従来の規則値で決めた位置ではなく顔貌に調和した患者さん自身がなりたい歯並びを共有することが出来ます。
-


いられるように。
口元にコンプレックスを抱いてると気づかないうちに思い切り笑えなくなってしまい、自信がなくなってしまう方も少なくありません。理想のお口元になれば、自然と自信が生まれ、輝くような笑顔を引き出せるようになります。
当院では、患者様一人一人のお口の状態に合わせ、理想の笑顔を追求していく為の治療計画を立てています。 矯正歯科・セラミック・ホワイトニングといった審美治療を用いることにより、人生をより豊かに、心から笑える歯を手に入れましょう。
Invisalign(インビザライン)は小児から成人まで、軽度な歯列矯正から重度の不正咬合までの症例を対象としたマウスピース型矯正装置です。米国アライン・テクノロジー社が開発した矯正装置であり、患者様一人一人に合わせてオリジナルの装置を作製します。
透明なプラスチックで製作することによりワイヤーの矯正に比べ目立ちにくく、歯を動かす力を調整してある為、痛みが苦手な方でも使用することができます。また、取り外しもできる為、普段通りの食事を摂ることが可能であり、お口の中を衛生的に保つことができるのも特徴です。
お口の中を正確に型取りをし、シュミレーションを行いながら皆様に適した治療のゴールを目指していきます。
-
-
見た目の改善
-
歯並びが悪いことをコンプレックスに感じてしまっている方は多いかと思います。目立ちにくい矯正装置により、見た目も気にしつつ治療を進めることができます。日常生活から口元を気にすることなく、笑顔に自信をもてます。
歯並びの改善を前提とした総合治療を行うことで、健康な歯を保存しながら治療の効果を最大限に引き出すことができます。
-
-
-
予防効果
-
不正咬合だと普段の歯磨きでブラシの届かない場所ができてしまい、虫歯や歯周病のリスクも上がってしまいます。歯並びを改善することにより、日頃から予防をしていける環境が得られる為、セルフケアを行いやすくなり、結果として口臭の減少にもつながります。
-
-
-
機能の改善
-
普段の食事を均一に噛むことができるようになり、これまで噛み切ることができなかった食べ物でも噛みやすくなります。また、唾液腺が刺激されやすくなる為、結果として口腔衛生環境が改善され、口臭の減少にも繋がります。また、噛み合わせが改善することで歯の寿命が延びると考えられます。
-
Ray
face(レイフェイス)は、患者様のお顔全体を多数のアングルから瞬時に撮影し、口腔内のデータだけでなく、顔のデータも取得することができます。顔の形状や咬合の状態も正確に把握することができ、より正確な治療計画を立てることにより、治療の精度を向上させることができます。
歯科医師による目視での成型ではなく、データとシュミレーションによる正確な計画に基づいた治療となる為、患者様の負担を軽減し、より一人一人に合ったスマイルデザインを目指していけます。

レイフェイスでは患者さんのCT画像、光学印象によるデジタル模型、顔貌の全てをマッチングさせて3Dのデンタルアバターを作成することができます。
矯正治療や前歯のセラミック治療において歯の根の角度や位置と骨の関係は長期予後の点で重要になってきます。しかしながら今までは、その治療結果を顔貌にリンクさせどのように変化するのかを視覚的に確認することができませんでした。




当院ではレイフェイスを使うことで治療結果後の顔貌を患者さんとすり合わせることで、安心して治療を開始することができるようになりました。
正面からだけでなく、側貌の仕上がりも確認することが3Dアバターであれば可能です。


正面からでは綺麗に並んでいるように見えるケースでは、側貌でのシミュレーションが患者さんとのすり合わせを円滑にしてくれます。





リップサポート、歯軸の改善によりほうれい線の是正やEラインの改善を行い審美的な改善を提案いたしました。
その際、どの程度骨が許容範囲としてあるのかを見ることで、現実的な治療プランの提案を行うことができます。
CERAMIC
セラミック治療
当院の歯の健康を考えたセラミック治療
セラミックは審美性、安定性に優れた材質です。しかし、むやみに削って作るだけではセラミックの利点を十分に活かすことができません。
虫歯の大きさや位置、噛み合わせを考慮したデザインに歯を削る必要があります。
当院では医学的に根拠のあるセラミック治療を提案致します。
また、歯の状態によってはセラミックよりもダイレクトボンディングが良い場合もあります。
しっかり削ってセラミック治療が長持ちすることもあれば、最小限に削って精密に詰めるダイレクトボンディングが良い場合もあります。
歯の状況毎に最適なマテリアルは違うため、状況に合わせて治療法を考える必要があります。
-
セラミック治療のメリット
- プラークが付着しにくく虫歯や歯周病のリスクが少ない
- 劣化や色の変色が少なく長持ちする
- メタルフリーなので金属アレルギーの方も治療できる
- 金属の溶け出しによる歯茎の黒ずみがない
- 透明感があり、色も調整できるので自然な白い歯を実現できる
-
デメリット
- 保険診療に比べて費用が高い
- 天然の歯より固く、まれに割れたり欠けたりすることがある
このようなかたは、是非ご相談ください
-
銀歯のある箇所の歯茎が黒ずんでしまっています
-
銀歯の下に何度も虫歯が再発してしまっています
-
銀歯が目立つことが気になります
-
金属アレルギーがあるため心配です
-
歯磨きだけでは、うまく綺麗になりません
-
白く美しい歯を手に入れたいと思っています
DIRECT BONDING
ダイレクトボンディング
ダイレクトボンディングとは
ダイレクトボンディングとは、コンポジットレジン(CR)というセラミックの粒子を含んだ白い樹脂材料を、お口の中で直接盛り付けて歯を修復する治療法です。歯の色に合わせて数種類のCRを重ね合わせ、歯の溝や湾曲など、細かい形態を時間をかけて成型していくことで、天然歯のような自然な色、形、質感を再現することができます。本来、型をとって歯科技工士が時間をかけて歯を作っていく工程を、直接歯科医師が行うことで、基本的には1日で治療が完了します。そしてむし歯だけを削って詰めることができるため、型をとるより、歯を削る量が少なく歯にやさしい治療法といえます。
-
-
歯を削る量が少ない
-
ダイレクトボンディング治療は必要最小限の範囲のみを削って治療することができます。そのため、被せ物や詰め物と比べて、歯への負担が少ない治療法です。
-
-
-
自然な歯を再現できる
-
色調や透明感が異なったさまざまな種類の CRを使用することで、天然歯に近い歯を再現することができます。
-
-
-
治療期間が短い
-
直接、お口の中に CR を詰めるため1日で治療を終えることができます。
-
-
-
部分的な補修ができる
-
治療部位がかけた場合や変色した場合は、その部分だけを補修することができます。
-
矯正治療のみでは綺麗なスマイルを作ることが難しいことも実際には多いです。
そのようなケースでは、矯正治療とダイレクトボンディングやセラミック治療を併用することで綺麗なラインを揃えることが可能となります。

カンタリング前

カンタリング後
前歯が磨耗によって欠けてしまっている場合は簡単な処置で綺麗に改善することが可能です。また患者さんが気になる場合のみ天然歯が持っている凸凹をならすことも可能です。
LINGUAL ORTHOBONTICS
舌側矯正(リンガル矯正)
歯を並べるための矯正用ブラケットとワイヤーが見えにくいように、歯の裏側(舌側)に装置を装着する治療を舌側矯正(リンガル矯正)と呼びます。上の歯のみ舌側に装置を装着し、下の歯は発音や食事の違和感を減らすために表側につけるハーフリンガルという方法もあります。マウスピース矯正装置が苦手とする動きを補完することができ、マウスピース矯正は適応しづらいが治療中の見た目を気にされる方の治療法として当院では取り入れております。
WHITENING
ホワイトニング
こだわりの美しい白い歯を実現したい方へ
多くの人が、歯茎の変色や歯の黄ばみ、古い銀歯などが気になり、笑顔に自信を持つことが難しいと感じ、人前で話すのに不安を抱くことがあるかもしれません。
当院では、生活の中で付着した歯の色素を取り除き、本来の明るさと白さを回復させるホワイトニングや、金属アレルギーのリスクを軽減し、自然な白さを実現できるセラミックなどの詰め物や被せ物を提供しています。これにより、自信を持って笑顔になるお手伝いをする美容歯科医療を提供しています。
美容的な治療を通じて、見た目に自信を持つだけでなく、口腔内の健康にも気を配ることができると信じています。患者様の心身の健康をサポートするために、さまざまな治療オプションをご提案し、お気軽にご相談いただければ幸いです。
ホワイトニングで、長く白い歯を保って欲しい
ホワイトニングの効果は時間とともに薄れてしまうため、定期的な施術が必要です。当院では、定期的なホワイトニングを希望される方々のために特別な価格設定を行っており、白い歯を持続的に保つお手伝いをしています。患者様が無理なく通院できるよう、料金設定に努めています。
当院のホワイトニング材は、歯の脱水を防ぎ、知覚過敏が発生し辛くなっています。
また、しみる症状が出た場合、知覚過敏抑制材を使用することにより再発し辛くなっています。
ホワイトニング後の2、3日間は、歯に着色する食べ物や飲み物はお控えください。
Greetingご挨拶
当院のコンセプトは、「世界水準の技術と知識」「世界水準の滅菌」「専門医と同等の設備」です。
「自分自身が受けたい治療」をモットーに、海外の先進的な治療技術を積極的に取り入れ、衛生環境も世界水準の滅菌システムを導入して、安全な医療を提供しています。
また、アメリカの根管治療専門医と同等のマイクロスコープを使うことで、根管治療や歯周外科において精密な治療を行っています。
その結果、抜歯や再治療を格段に減らせ、歯の寿命を延ばすことにもつながっています。
他院で抜歯と言われた方や、むし歯の再発でお困りの方は、ぜひ当院にご相談ください。
Fertures
当院の特徴
-
01

世界水準の技術・知識を取り入れた治療
日本の歯科医療は残念ながら、海外と比べるとまだまだ遅れをとっています。 そこで、きしかわデンタルオフィスでは、世界水準の歯科医療に一歩でも近づけるように、海外の技術を積極的に学び、取り入れています。 そして、技術だけでなく、衛生環境も世界水準の滅菌システムを導入し、安全な医療を提供して参ります。
-
02

専門医と同等の設備
歯科先進国であるアメリカの根管治療専門医は、歯科用顕微鏡「マイクロスコープ」の導入が必須とされており、精密・精巧な治療が行われているのが伺えます。しかし、日本ではマイクロスコープの導入は必須にはなっておらず、全体の5~10%ほどしか使用していないのが現状です。 優れた医療は歯科医師の知識・技術だけに限らず、医療機器によっても支えられているものと考え、マイクロスコープやCTなどの最新機器の導入も積極的に行っています。
-
03

歯の永続性を第一に考えた治療
自分の歯で一生食事ができ、口元を気にせず笑えることは素晴らしい人生だと思います。しかし、歯は他の体の組織のように再生することができないものですから、歯を「守る」ための治療を行うことが大切です。 口腔疾患は、口腔全体を診なければ根本的な原因にアプローチすることができません。 そのため当院は例え虫歯が1本であっても、その場限りの対処療法ではなく、口腔内全体を診る包括的な治療を行うことで、歯の健康が永続する治療を目指しています。
-
04

正しい診査・診断のために情報収集を欠かしません
良い治療のためには、正しい診査・診断が必要です。そのためには、目で直接確認できない情報も必要です。 当院では、初診のすべての方にパノラマレントゲンによる歯・顎・骨の状態の撮影と、口腔内写真の撮影を行います。 得た情報は記録・蓄積し、術前、術後の経過を患者さんにもお見せし、分かりやすくご説明しています。
医療設備
-
CT
顎の骨や歯の位置、神経の位置、
骨量などを3Dの立体映像で
撮影できる機器です。
根管治療、インプラント、抜歯などの
特に精密さが必要な治療には欠かせません。 -
マイクロスコープ
歯科用のマイクロスコープは、
眼科や脳神経外科などの繊細な
手術に使われている手術用の顕微鏡を、
歯科用にしたものです。
患部を肉眼の20倍まで拡大して
直接見ることができるため、とても精密な
治療を行うことが可能です。
マイクロスコープを使うことで、
今まで歯科医師が経験則で
行っていた治療がなくなり、
再治療となるリスクを格段に
減らすことができ、結果、
歯の寿命を延ばすことに繋がります。
ミクロン単位の正確さが要求される
歯科治療には、なくてはならない
機器の1つです。 -
口腔内スキャナー
口腔内スキャナーは、お口の中の状態を撮影し、立体的なデータを生成することができます。
口腔内の細部まで精密に捉えることができるので、必要な情報を正確に伝えることができます。
普段、お口の型取りで気分の悪くなってしまう方でも、負担を大幅に軽減することができます。
Flow治療の流れ
- Step01
-

相談
お口の中だけでなく、お顔の形状などを診査します。今気になっているところ、治療に関する不安なこと、知りたいことなどお話しいたします。 大まかな治療内容についてもご説明いたします。
- Step02
-

検査
顔・口腔内の写真撮影、X線、印象採取、問診などを行います。今後の治療方針を計画するため、見落としの無いよう検査いたします。
- Step03
-

診断
検査によって明らかになった現状をお伝えし、実際にどのような治療が必要なのかお話いたします。
- Step04
-

治療開始
検査結果に基づいた計画に沿って治療を行います。 治療中でも、何かご不安なことがございましたらお気軽にご相談ください。